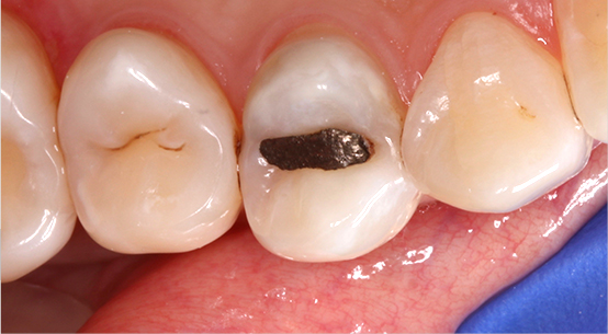
Before

BEFORE

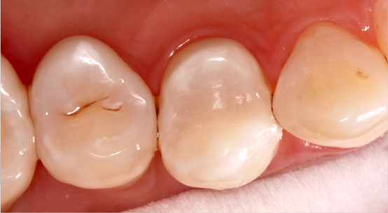
AFTER

After

CLINICAL CASE:

Dental Restorations using CLEARFIL MAJESTY ES-2 Universal
Dr. Troy Schmedding

Pre-Treatment

Selective Etch of Enamel

Application of CLEARFIL Universal Bond Qiuck

Application of CLEARFIL MAJESTY ES-2 Universal

Post Treatment

Dr. Troy Schmedding

Dr. Troy Schmedding was born and raised in Spokane, WA and graduated from the University of Puget Sound prior to getting his DDS at the University of the Pacific, Arthur A. Dugoni School of Dentistry. For 17 years Dr. Schmedding successfully maintained a thriving solo dental practice in Seattle, WA prior to relocating to California to pursue his interest in educating the future generation of dentists. He currently holds a position as assistant professor in the Department of Integrated Reconstructive Dental Sciences at The University of the Pacific, Arthur A. Dugoni School of Dentistry. In addition to his pursuits in academia, Dr. Schmedding enjoys direct patient contact through his private dental practice in Walnut Creek, CA.